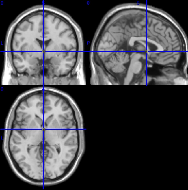
内部限定(プレビュー) Internal limited 本ページの記事は東北大学応用認知神経科学センター内部での情報共有を目的としており外部からの閲覧を想定していません。センターは内容について外部からのご質問にはお答えできず、正確性に関して責任を負いません。 fMRIデータの前処理 fMRI解析マニュアル SPMを用いたMRI解析を始める前に、以下の準備が必要です。 前処理を行う前の確認 原点合わせ Realign Slice timing correction Coregistration Segmentation Normalisation Smoothing ※必ずしもこの手法をこの順番で行うとは限りません 質問、ご指摘、ご意見がありましたら、フォームより入力ください。 添付ファイル 一覧へ戻る 前の記事 一覧へ戻る 次の記事
SPMを用いたMRI解析を始める前に、以下の準備が必要です。
※必ずしもこの手法をこの順番で行うとは限りません
質問、ご指摘、ご意見がありましたら、フォームより入力ください。